Descopera.ro Poţi face „pietre la creier”? Un caz medical extrem de rar uimeşte lumea medicală
Descopera.ro:Poţi face „pietre la creier”? Un caz medical extrem de rar uimeşte lumea medicală
18 Apr, 2014 07:49
ZIUA de Constanta
3218
Marime text
3218
Marime text
Cazul unui bărbat din Brazilia, care suferea de 10 ani de dureri atroce de cap şi tulburări de vedere, a fost lămurit abia recent: medicii au identificat prezenţa în creierul lui a unor formaţiuni solide, calcifiate. În cazul lui, formaţiunile reprezintă o complicaţie extrem de rară a bolii celiace, determinată de intoleranţa la gluten.Pacientul nu ştia că suferă de intoleranţă la gluten; ceea ce l-a determinat să meargă la medic au fost durerile de cap şi tulburările de vedere. Iniţial diagnosticat cu migrenă, a fost tratat cu medicamente specifice împotriva acestei afecţiuni, dar starea lui nu s-a îmbunătăţit.
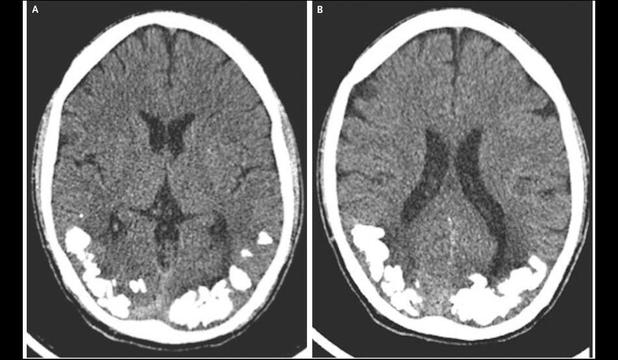
În cele din urmă, în urma unei tomografii computerizate, medicii au descoperit mai multe aglomerări solide, calcificate, în partea posterioară a creierului, în aria care procesează informaţiile vizuale. Analizele au mai arătat că în sângele pacientului exista o proporţie mare de antiocorpi asociaţi cu boala celiacă. Cazul a fost descris în New England Journal of Medicine.
Boala celiacă (celiachia) este o afecţiune autoimună determinată de intoleranţa la gluten (componenta proteică din cereale precum grâu, secară, orz, ovăz.) Intoleranţa la gluten determină apariţia inflamaţiei, care deteriorează mucoasa intestinului subţire şi împiedică absorbţia normală a anumitor nutrienţi.
Articolul integral pe descopera.ro
Urmareste-ne pe Grupul de Whatsapp
Comentarii
Fondul Documentar Dobrogea de ieri și de azi


