Internetul creează dependenţă asemenea cocainei, heroinei sau ketaminei
Internetul creează dependenţă asemenea cocainei, heroinei sau ketaminei
2343
Marime text
Un nou studiu a demonstrat că Internetul poate provoca
dependenţă şi poate schimba procesele neuronale asemenea substanţelor despre
care se ştie că dau dependenţă, informează CBS News.
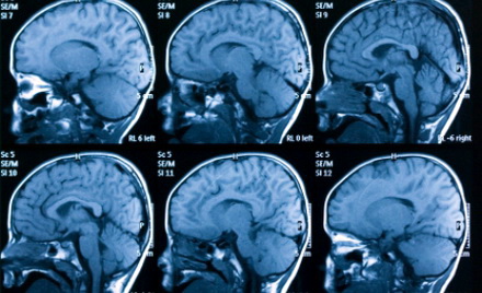
Pentru studiu au fost comparate rezultatele în urma scanării creierului a 17
bărbaţi şi femei, cu vârste cuprinse între 14 şi 21 ani, care trăiesc în China,
care au fost diagnosticaţi cu dependenţă de Internet cu rezultatele testărilor
unor oameni care nu prezintă niciun fel de afecţiune.
Cercetătorii au descoperit mai multe "anomalii ale materiei albe" în
timpul scanării creierelor celor depedenţi de Internet. Rezultatele indică
faptul că traseele neuronale ale celor testaţi au întreruperi pe rutele legate
de emoţii, luarea deciziilor şi auto-controlul.
Comparând cu rezultatele unor testări mai vechi, aceleaşi anomalităţi au fost
descoperite şi în cadrul tomografiilor persoanelor dependente de alcool,
cocaina, heroină, marijuana sau ketamină.
Profesorul Gunter Schumann, director al Institutului de Psihiatrie al King
College din Londra, a spus că a descoperit modele asemănătoare şi la persoanele
cu dependenţă de jocuri video.
Sursa: Antena 3.ro
Urmareste-ne pe Grupul de Whatsapp
Fondul Documentar Dobrogea de ieri și de azi


